眼瞼下垂の手術について
こんな症状はありませんか?
眼瞼下垂チェックリスト
以下のような自覚症状をお持ちの方は眼瞼下垂症と呼ばれる病気の可能性があります。
☑ まぶたが下がってきてしまう
☑ まぶたが常に重い
☑ 目の開きにくさを感じる
☑ 慢性的な肩こり・頭痛を感じる
☑ おでこにシワができ始める
☑ 目の奥に痛みを感じることがある
☑ 長年ハードコンタクトレンズを使用している
☑ 目をこする癖がある
☑ 白内障などの眼科手術を受けたことがある
このようなお悩みに対して、当院では形成外科専門医が日帰り手術を行っております。
大阪府豊中市で眼瞼下垂でお悩みの方は千里中央花ふさ皮ふ科までお気軽にご相談ください。
眼瞼下垂の症状・原因 -眼瞼下垂とは-
眼瞼下垂とは加齢に伴い、まぶたの機能が衰えることによって起きる病気です。
眼筋の力(まぶたの筋肉)でまぶたが満足に開かないので、おでこの筋肉で開きを維持しようとし強い負担がかかります。
また、目の奥にあるミュラー筋と呼ばれる副交感神経を使わどる筋肉にも負担がかかる為、目の奥の痛み・頭痛・肩こりといった症状があらわれてきます。
当院では、中等症・重症の方には手術による治療を推奨しています。

- ①ほぼ正常
目を見開いた時に、黒目の上の白目が見えるのが正常な状態です。

- ②軽症
黒目の上の白目が隠れてしまう、比較的軽度な症状です。

- ③中等症
まぶたが下がり、瞳孔にまぶたがかかり始めてしまう状態です。

- ④重症
さらにまぶたが下がり、瞳孔が半分以上隠れてしまっている状態です。
眼瞼下垂の手術について
当院では患者様の年齢や症状に合わせて、保険で適応された確実な術式の手術を選択しています。
※タップすると詳細な治療方法が開きます。
当院の手術へのこだわり
- ①保険適応の手術です。
当院では、原則保険診療適応となる術式の手術のみ行います。
例えば、目の幅を広げる目頭切開法・目尻を切開することで目を大きく見せる目尻切開(※1 内皆形成術)法・下まぶたのラインを切開し、たれ目がちな見た目に見せる下眼瞼下制術等、審美性(美容目的)にも使われる術式が自由診療で行われておりますが、当院では長年培われたエビデンス・安全性を考慮して保険診療のみを行っております。
※1・・・保険診療で治療可能
- ②自己負担が少ない
自由診療の術式では、20万円以上、場合によって50万円以上の負担額になるケースもあります。
保険診療では両目44,000円(自己負担3割の場合)と安全かつ自己負担を抑えて治療が可能です。
- ③仕上がり・傷跡の少なさへのこだわり
切開・縫合を行う都合上、必ず傷跡・縫合跡ができてしまいます。
そのため当院では傷跡が目立たないように極細の糸・症状応じた侵襲性の低い術式の選択など、形成外科専門医のライセンスを持つ医師が、保険診療の範囲内で傷跡の少なさにこだわります。
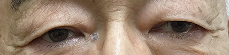
症例のご紹介
手術前

手術2週間後

手術2ヶ月後

手術までの流れ
- ①ご予約
眼瞼下垂の手術は完全予約制です。まず、術前診察をホームページからご予約ください。
- ②診察・診断
形成外科専門医が、まぶたの状態を診察し、健康保険の適応・仕上がりの形のヒアリング・治療のリスク・注意点等ご納得いただけるまで丁寧に診察いたします。
- ③切開
麻酔後、切開を行います。
手術時間は術式にもよって異なりますがおおよそ60分程度かかります。
- ④縫合
傷跡を目立たなくするためには、極細の縫合糸と精密な縫合が必要です。
執刀医の糸の結び方・強さ等によって仕上がりは変化する為、細心の注意を払い縫合していきます。
- ⑤アフターフォロー
術後の合併症を防ぐために、日常生活での注意点・家でのフォロー方法について、納得いただけるまで丁寧にご説明いたします。
治療料金
| 部位 | 料金(3割負担の場合) |
|---|---|
| 片目 | 20,000円 |
| 両目 | 40,000円 |
※他院の修正等美容目的の場合は保険が適応できない場合がございます。























